Zöliakie

Autoimmunologische, molekulargenetische und histologische Diagnostik der Zöliakie

Trotz der Möglichkeit einer differenzierten und rationalen Diagnostik ist die Zöliakie aufgrund ihres breiten klinischen Spektrums und bei fehlender Anwendung serologischer Screening-Methoden weit unterdiagnostiziert. Heute beträgt die diagnostische Latenz immer noch ein paar Jahre.

Die Zöliakie Diagnose stützt sich auf folgende Befunde:

  • Klinik und Anamnese (auch Familienanamnese)
  • Nachweis Zöliakie-spezifischer Antikörper
  • Histologischer Nachweis einer Enteropathie (Marsh 2–3)
  • Ggf. molekulargenetischer Nachweis der HLARisikoallele DQ2 und DQ8

Da die Zöliakie in bis zu 30 % der Fälle mit anderen Autoimmunerkrankungen assoziiert ist, ist das Screening für Autoimmunthyreoiditis, Autoimmunhepatitis und Diabetes mellitus Typ 1 empfohlen.

Diagnostik der Zöliakie bei Kindern und Jugendlichen

Bei Kindern und Jugendlichen sollten unter einer Glutenbelastung die Antikörper alle 6 Monate für 2 Jahre bestimmt werden. Bei fehlenden Symptomen und negativem Antikörpernachweis über 2 Jahre sollten sicherheitshalber nach 5–10 Jahren die Antikörper kontrolliert werden. Bei typischer Klinik und Laborbefunden kann der Verzicht auf eine Biopsie erwogen und die Diagnose einer Zöliakie ohne histologische Bestätigung gestellt werden, wenn alle folgenden Voraussetzungen erfüllt sind:

  • klassische (gastrointestinale) Manifestation,
  • 10-fach über dem Grenzwert erhöhte Transglutaminase-Ak (IgA),
  • Nachweis von Endomysium-Ak (IgA),
  • Nachweis von ausgewählten HLA-DQ2- und -DQ8-Allelen,
  • Aufklärung der Eltern über die Vor- und Nachteile einer duodenalen Biopsie und
  • klinische und serologische Remission unter glutenfreier Diät.

­

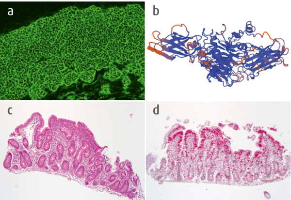
Histo- und immunpathologische Befunde bei Zöliakie (a) Nachweis von IgA-Autoantikörpern gegen Endomysium mittels indirekter Immunfluoreszenz auf Esophagus. (b) Schematische Darstellung der Transglutaminase 2 (erzeugt mit Swiss Model, http://swissmodel.expasy.org/interactive). (c) Zöliakie Typ 3b der Marsh-Klassifikation, HE-Färbung mit stummelförmig verkürzten Dünndarmzotten. (d) CD8-Immunhisto­chemie eines Oberflächen­epithels mit durchschnittlich 60–70 T-Lymphozyten/100 Enterozyten im lymphozytären entzündlichen Infiltrat in der Lamina propria (x 100).

Das Wichtigste auf einen Blick

Die Zöliakie ist eine häufige entzündliche Erkrankung, die bei genetischer Prädisposition durch glutenhaltige Nahrungsmittel ausgelöst wird. Bei klinischem Verdacht auf eine Zöliakie sollten primär Transglutaminase-Ak (IgA) oder Endomysium-Ak (IgA) bestimmt und ein IgA-Mangel ausgeschlossen werden. Diese Empfehlung gilt für alle Altersgruppen. Bei vermindertem Gesamt-IgA sollten Gliadin-Ak (deamidiert, IgG) oder Transglutaminase-Ak (IgG) untersucht werden.

Arztinformationen

­

Zum Fachbereich Autoimmun-Diagnostik

Um diese Webseite für Sie optimal zu gestalten und Zugriffe zu analysieren, verwenden wir Cookies. Mit Klick auf Zustimmen erklären Sie sich damit einverstanden. Ihre Zustimmung können Sie jederzeit widerrufen. Erfahren Sie mehr in unserer Datenschutzerklärung