Dermatitis herpetiformis

Diagnostische Merkmale der Dermatitis herpetiformis (DH)

Die Dermatitis herpetiformis (Duhring) ist obligat mit einer glutensensitiven Enteropathie (Zöliakie, einheimische Sprue) assoziiert und stellt gleichsam eine kutane Manifestation dieser gastrointestinalen Erkrankung dar. Die Klinik und die histopathologische Untersuchung liefern wichtige Hinweise für die Diagnose der Dermatitis herpetiformis, die zu einer Blasen bildenden Autoimmunerkrankung gehört. Der Nachweis von Autoantikörpern in der Haut durch direkte Immunfluoreszenz sichert die Diagnose einer bullösen Autoimmundermatose, auch wenn hierfür noch keine spezifischen histologischen Veränderungen nachweisbar sind. Die direkte Immunfluoreszenz zeigt pathognomonische granuläre Ablagerung von IgA an der dermoepidermalen Junktionszone, mit Betonung der Papillenspitzen.

Der Nachweis der Autoantikörper im Serum der Patienten mittels indirekter Immunfluoreszenz und/oder ELISA stellt eine zwingende Voraussetzung für die Diagnose einer bullösen Autoimmundermatose dar. Die Zielantigene von Autoantikörpern werden zur Bestätigung im monospezifischen ELISA detektiert. Häufig ist die Diagnose einer Dermatitis herpetiformis daher bereits durch eine serologische Untersuchung möglich.

Die Serumspiegel der Transglutaminase-Ak (IgA) korrelieren gut mit der klinischen Erkrankungsaktivität und sinken bei Einhaltung einer glutenfreien Diät ab. Daher eignet sich die Bestimmung dieser Autoantikörper mittels quantitativer Immunoassays (ELISA) auch als Verlaufsparameter.

Durch die Bestimmung von IgA sollte ein IgA-Mangel, der bei 3–7 % der Zöliakie-Dermatitis-herpetiformis-Patienten vorkommt, ausgeschlossen werden. Bei einem IgA-Mangel sollen zur weiteren Abklärung der Dermatitis herpetiformis die Gliadin-Ak (deamidiert, IgG) bzw. die Transglutaminase-Ak (IgG) bestimmt werden. Ergänzend ist eine HLA-Typisierung indiziert.

Bei positiver direkter Immunfluoreszenz und positivem Haut-Ak (IgA) von Autoantikörpern gegen Endomysium, aber negativem Nachweis für Transglutaminase-Ak oder Gliadin-Ak (deamidiert, IgG) beziehungsweise anderen Bindungsmustern im Haut-Ak, können differenzialdiagnostisch weitere Untersuchungen zum Ausschluss einer Pemphigoid-Erkrankung (BP180- und BP230-Ak), eines Pemphigus (Desmoglein-1- und -3-Ak) oder einer Epidermolysis bullosa acquisita (Kollagen-Ak ­[Typ VII]) durchgeführt werden.

Das Wichtigste auf einen Blick

Der Nachweis granulärer IgA-Ablagerungen an der epidermalen Basalmembran mittels direkter Immunfluoreszenz bzw. IgA-Autoantikörper gegen Endomysium im Haut-Ak (IgA / IgG) und/oder Transglutaminase-Ak stellt eine zwingende Voraussetzung für die Diagnose einer Dermatitis herpetiformis dar.

Direkte Immunfluoreszenz einer periläsionalen Hautbiopsie zeigt granuläre IgA-Ablagerungen an der dermoepidermalen Junktionszone (x 250).

Nachweis zirkulierender IgA-Autoantikörper gegen Endomysium mittels indirekter Immunfluoreszenz auf Ösophagus

Papeln und Bläschen bei einem Patient mit DH.

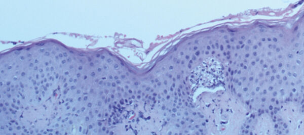
 Histopathologisch subepidermale Blasenbildung mit Entzündungsinfiltrat (H&E, x 200).

 

Zum Fachbereich Autoimmun-Diagnostik

Um diese Webseite für Sie optimal zu gestalten und Zugriffe zu analysieren, verwenden wir Cookies. Mit Klick auf Zustimmen erklären Sie sich damit einverstanden. Ihre Zustimmung können Sie jederzeit widerrufen. Erfahren Sie mehr in unserer Datenschutzerklärung